Cómo la oclusión de dientes podría ser un factor importante en el desempeño de un escalador
¿Creerías que la mordida (oclusión de dientes) de un escalador podría verse relacionada en el desempeño de encadenar?
Contrario a la creencia popular, nuestros dientes no sólo nos permiten masticar y alimentarnos, sirven también de activación para que los músculos participen en generar un equilibrio neuromuscular a nivel de cabeza, cuello, y a lo largo del cuerpo, incluso logrando modificar la postura del individuo 1.
Un estudio realizado en Suiza demostró que sujetos con problemas en su mordida o en la articulación de su mandíbula disminuyeron su resistencia al momento de sostener 2kg con el brazo estirado horizontalmente de forma isométrica 2 en comparación con el grupo control (mordida y articulación correcta).
Así también existen otros estudios como el de la Universidad de Palermo que demuestran como se ve modificado el arco plantar del pie en relación a la oclusión 3 o en otro estudio demostrando la alteración de musculatura excéntrica de rodilla en mujeres sin sintomatología previa 4.
Evidencias como esta nos permiten cambiar la visión que existe sobre la incidencia de los dientes en nuestros cuerpo y de como los Odontólogos podrían ayudar a mejorar nuestra eficacia deportiva. Se puede realizar un test como en el siguiente video en donde podemos verificar por nosotros mismos la influencia de nuestra mordida en la capacidad de resistencia de los miembros superiores.
Habitualmente se asiste a la consulta odontológica por dolor o sintomatología, induciendo al operador (dentista) centrarse directamente en el diente y no permitiendo dar una rehabilitación integral.
Resulta casi imposible devolver los contactos originales entre los dientes cuando se realiza una obturación (tapadura) o corona por caries. Necesitamos dejar 3 contactos mínimo en una obturación para formar un tripoidismo estable con la pieza dental antagonista. Por ejemplo, el primer molar superior, al juntarse con el inferior, cuando masticamos, es responsable de la mayor parte de la eficiencia masticatoria para triturar y moler bien los alimentos. Por ello, su anatomía tiene 13 contactos que engranan entre sí, 2 elevaciones similares a las puntas de un cerro (cúspides) para soportar la gran fuerza de la articulación temporo-mandibular (ATM) y 3 para cortar alimento.
Este molar es el que más se pierde sea por caries o enfermedad periodontal (enfermedad de las encías), además se encarga de equilibrar, estabilizar y guiar los movimientos de la mandíbula.
Las siguientes imágenes resumen lo explicado.
Los dientes caninos en la estabilización
Otro concepto importante de mencionar es la influencia de los caninos (colmillos) en la estabilización de la mandíbula principalmente al masticar un alimento. El largo de estos dientes obedece a que al comer por un lado, por ejemplo, por el lado derecho, separan todos los otros dientes para permitir ubicar los alimentos entre la mejilla y la lengua, y en un movimiento sincrónico, molemos los alimentos. Aunque a veces suelen atribuirlo a cepillado traumático (fuerte), en la mayoría de los casos son realmente los caninos que están desgastados o ubicados más arriba que los premolares, produciendo una tensión en la musculatura y por consecuencia el inicio de un bruxismo, pérdida de la calidad de la alimentación y disminución de la eficiencia muscular masticatoria.
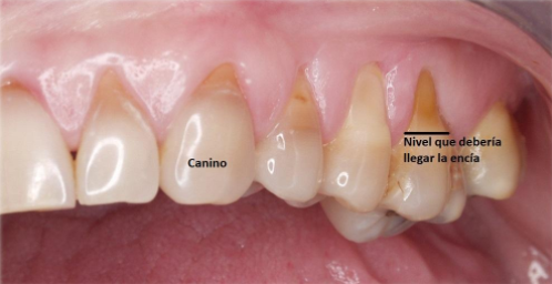
Debido en parte a lo explicado anteriormente, la mayoría de los pacientes nos llegan con pérdida de hueso en los dientes posteriores (premolares y molares) que observamos por el recogimiento de las encías, y que le quedan los cuellos dentales expuestos (que llamamos recesión gingival) que no es más que una pérdida de hueso. Al examinar, notamos que es porque los caninos están cortos o no cumplen su función de separar las piezas dentales posteriores (ver foto).
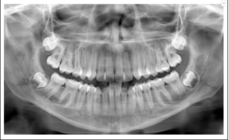
Por eso, necesitamos examinar y mirar toda la boca, incluyendo unas radiografías panorámicas (vea foto de radiografía panorámica) y no asistir sólo por dolor. Mire su boca desde un punto de vista de prevención, sin caries, sin tapaduras, sin ausencia de muelas, sin molestias musculares (bruxismo) de la boca, cuello o dolores de cabeza.
En conclusión, aparte de incentivar que acudan a su dentista, al llevarlo a términos “escaladisticos”, si logramos una oclusión estable, debemos ocluir (morder) con todos nuestros dientes en el momento del “crux”, para así, ejercer la fuerza de nuestro cuerpo como sistema y llevarnos para la casa ¡esa ruta que tanto nos cuesta! Ante dudas dejo la referencia bibliográfica, puede dejar su comentario abajo o comunicarse directamente.
Dr. Nicolás Venegas
Cirujano dentista
+569 9042 3370
Nicolasvenegas90@gmail.com
Referencias
http://www.tandfonline.com/doi/abs/10.1080/08869634.2000.11746124
http://www.tandfonline.com/doi/full/10.3109/00016357.2011.635599
http://www.bodyworkmovementtherapies.com/article/S1360-8592(10)00150-6/fulltext
https://www.ncbi.nlm.nih.gov/pubmed/?term=10.1519%2FJSC.0b013e3182a7665a
















