Prevención de lesiones de pie por el uso de zapatillas de escalar
Mucho se habla acerca de las lesiones presentes en la escalada, sobre todo por el gran aumento de adeptos que ha tenido en el último tiempo esta disciplina, siendo las lesiones de extremidad superior las más discutidas en la literatura, mientras que las lesiones de extremidad inferior, y específicamente de pie, se han dejado un poco de lado. Esto es particularmente interesante, ya que el sentir incomodidad, molestia e incluso dolor en los pies al momento de escalar es realmente común. No son pocas las veces que se escuchan quejas al respecto, sobretodo culpando el calzado que se ocupa para escalar, ya sea en roca o resina. Pero, ¿qué tan común es todo esto?¿realmente importa el calzado que se ocupe?¿qué se puede hacer al respecto? A continuación, se explicarán algunos conceptos básicos y se darán a conocer consejos útiles para poder solucionar estos problemas.
Lesiones de pie en la escalada
Cerca de un 50% de las lesiones agudas en escalada en roca corresponden a la extremidad inferior, debido a caídas y golpes como contusiones, fracturas, esguinces, entre otros. A nivel de lesiones crónicas, cerca del 87 a 90% de la gente que practica esta disciplina, presenta dolor o algún tipo de molestia en el pie al momento de escalar o incluso después, lo cual se debería principalmente al tipo de calzado que se utiliza. Este se caracteriza por ser muy ajustado y pequeño, lo cual facilita el apoyo sobre pequeños bordes o superficies, aumentando la fricción entre el escalador y la superficie. En comparación, las zapatillas de escalar pueden tener diferencias de tamaño entre 2 a 3 tallas, en promedio. con el calzado de uso cotidiano (Fig. 1), lo cual es ampliamente aceptado entre la comunidad, a pesar de la incomodidad que pueda provocar, con tal de mejorar el desempeño deportivo.
Figura 1. Imagen descriptiva de la diferencia entre el calzado común y el de escalada.
156 R.D. McHenry et al. / The Foot 25 (2015) 152–158
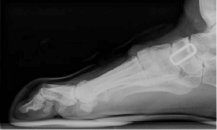
Este tipo de calzado cambia de manera importante la biomecánica del pie, llevando los dedos a una flexión pronunciada, aumentando el arco plantar (Fig. 2), el talón tiende a ir hacia dentro y la pierna gira externamente (Fig. 3), lo que no solo provoca tensión en la planta del pie, sino que también sobrecarga la musculatura de tobillo y dedos, teniendo consecuencias como rigidez y debilidad muscular en el mediano y largo plazo, pudiendo presentar problemas incluso en la vida diaria, como dolor e incomodidad al caminar.
FIgura 2. Radiografía lateral de un pie dentro de una zapatilla de escalada.
Figura 3. Cambio biomecánica del pie y tobillo y cómo afecta la pierna.
Es por esto que es común la formación de callosidades o ampollas en el dorso de los dedos (Fig. 4), la presencia de dolor o rigidez en la planta del pie, calambres, diferentes tipos de lesiones en las uñas e incluso al largo plazo se puede provocar la desviación del primer ortejo del pie (dedo gordo), lo que se conoce como hallux valgus o “juanete” (Fig. 5). Además, en casos extremos, debido a la gran compresión que puede generar el calzado en caso de ser muy pequeños, podría generar daño a nivel de los nervios del pie, generando adormecimiento, dolor y debilidad.
Figura 4. Formación de callosidades y ampollas en diferentes partes de los dedos y pie.
Figura 5. Hallux valgus, conocido también como “juanete”.
Consejos para evitar este tipo de complicaciones:
1) Evitar el uso de zapatillas con una diferencia mayor a 2 tallas con respecto al calzado de uso diario. Esto a pesar de la creencia que existe de que mientras menor sea la talla de la zapatilla, mejor será el desempeño para escalar. Siempre hay que tener en cuenta la comodidad, y los riesgos que conlleva todo esto. 2) Retirar de manera intermitente el calzado. Esto se refiere principalmente a no ocupar las zapatillas cuando no se esté escalando, así evitar la sobrecarga de manera innecesaria, por lo tanto, una vez realizado el “pegue” lo mejor es quitarse las zapatillas. 3) Ocupar zapatillas menos ajustadas y más cómodas para entrenar. Lo ideal sería tener un par de zapatillas un poco más grandes, permitiendo un entrenamiento óptimo, y que por supuesto no afecte ni el desempeño ni el objetivo deseado. 4) Mantener una buena higiene. Siempre estar atento al estado de las uñas y dedos, evitando heridas e infecciones que puedan provocar dolor u otro problema. 5) Elegir la zapatilla según las características de cada uno. Esto apunta no solo a la forma del pie de cada persona, sino que también a los gustos, comodidad y nivel de experiencia que tenga cada uno. A pesar de que no existe una manera para elegir exactactamente la mejor opción, hay diferentes guías en internet que podrían ayudar a tomar una decisión. https://www.bananafingers.co.uk/category/climbing-shoes Aquí tiene la opción de calcular la talla según el calzado de uso diario de cada uno. Eso si, no todas las zapatillas tienen la opción de “How I choose the correct size?”. https://www.lasportiva.com/en/climbing-shoes-technical-information En este sitio se puede ver una guía simple de qué zapatilla elegir, según el nivel y forma de pie que se tenga.
https://rockrun.com/blogs/the-flash-rock-run-blog/rock-shoe-sizing-guide
Guía de distintos tipos de zapatilla según nivel y marca.
Ejercicios
A continuación se describirán algunos ejercicios simples y básicos para poder evitar o tratar de cierta manera estos problemas. Siempre hay que tener en cuenta que en caso de presentar un problema mayor, hay que consultar con un profesional.
1) Masaje de planta del pie
Poner el pie sobre una pelota de tenis (Fig. 6a), e ir haciendo sobrepresión de manera suave en los puntos dolorosos que se tengan en la planta, esto se puede hacer de dos maneras, mantener la presión en el punto, o ir masajeando moviendo el pie lentamente sobre la pelota. Esto mismo se puede realizar con alguna barra en el suelo, ya sea de madera o de otro material (Fig. 6b), con el fin de relajar la planta del pie.
Figura 6. a) Masaje auto realizado con pelota de tenis; b) Masaje auto realizado con barra de metal.
2) Masaje de la pantorrilla.
Sentados sobre una colchoneta o el suelo, con la pierna extendida sobre un roll o una pelota de tenis (Fig. 7). De esta manera ir moviendo el cuerpo completo con la pierna estirada sobre el roll o pelota, masajeando los músculos de esta zona.
Figura 7. Masaje de pantorrilla con roll.
3) Estiramiento de la pantorrilla.
Apoyado en la pared con las manos, se debe estirar una pierna hacia atrás, apoyando completamente la planta del pie, evitando que el talón se levante con la rodilla extendida (Fig. 8). Luego hacer lo mismo con la otra pierna. Realizar de manera mantenida con series de 20 segundos, teniendo un total de 1 minuto por pierna.
Figura 8. Estiramiento de pantorrilla.
4) Estiramiento de la planta del pie
Sentado, se debe colocar el pie a estirar sobre la rodilla contraria (Fig. 9), y con las manos tomar los dedos del pie y llevarlos hacia arriba manteniendo el tobillo lo más flectado posible.
Figura 9. Estiramiento suave y simple para planta del pie.
Otra manera de realizarlo es apoyando los dedos en un disco o algún tipo de realce (Fig. 10), llevando el cuerpo hacia delante de manera controlada y lenta, sintiendo como la planta del pie se estira. Ambos se deben realizar con suavidad, de manera controlada y mantenida , que no duela ni moleste de sobremanera. Se puede realizar de manera mantenida con series de 20 segundos, teniendo un total de 1 minuto como mínimo por pierna.
Figura 10. Estiramiento de la planta del pie apoyado en disco.
5) Arrugar papel
Colocando el pie sobre una toalla de papel o alguna superficie parecida, se debe arrugar esta con los dedos del pie, tratando de acercar el extremo más distante de la toalla hacia uno (Fig. 11). En caso de que sea difícil acercar la toalla, basta con arrugar la toalla con los dedos en el lugar.
Figura 11. Ejercicio para flexores de dedos.
6) Apertura de dedos
Este ejercicio consiste en levantar los dedos del pie (Fig. 13a), luego inclinar el pie hacia el lado bajando el meñique (Fig. 13b) y finalmente se debe bajar de manera aislada el primer dedo inclinando levemente el pie para el otro lado (Fig. 13c). Este movimiento es particularmente difícil de realizar, ya que requiere práctica. Es muy útil para ejercitar la musculatura del “dedo gordo”, y así evitar los efectos deletéreos de la desviación de este.
Figura 12. a) Levantar dedos; b) Bajar meñique; c) Bajar primer ortejo.
7) Equilibrio sobre discos.
Este ejercicio consiste en pararse sobre dos discos separados entre sí, apoyando solo el talón y los dedos, dejando fuera la planta del pie (Fig. 12) Lo ideal es mantener los discos lo más separados entre si, dependiendo del pie de cada uno. En esta posición se puede realizar equilibrio, activando así los músculos que estabilizan el tobillo y el arco del pie.
Figura 13. Equilibrio sobre discos.
Para terminar, se debe aclarar que esto no reemplaza la atención ni tratamiento de parte de un profesional. En caso de tener un problema serio, no dude en consultar al profesional o experto correspondiente.
Pablo Llanos A.
Klgo. Universidad de Chile.
+56985014886
Bibliografía
1.-Drake, M., Bittenbender, C., & Boyles, R. E. (2011). The short-term effects of treating plantar fasciitis with a temporary custom foot orthosis and stretching. Journal of orthopaedic & sports physical therapy, 41(4), 221-231.
2.-Kamonseki, D. H., Gonçalves, G. A., Liu, C. Y., & Júnior, I. L. (2016). Effect of stretching with and without muscle strengthening exercises for the foot and hip in patients with plantar fasciitis: A randomized controlled single-blind clinical trial. Manual therapy, 23, 76-82.
3.-Killian, R., Nishimoto, G., & Page, J. (1998). Foot and ankle injuries related to rock climbing. The role of footwear. Journal of the American Podiatric Medical Association, 88(8), 365–374. doi:10.7547/87507315-88-8-365
4.-Kim, M. H., Kwon, O. Y., Kim, S. H., & Jung, D. Y. (2013). Comparison of muscle activities of abductor hallucis and adductor hallucis between the short foot and toe-spread-out exercises in subjects with mild hallux valgus. Journal of back and musculoskeletal rehabilitation, 26(2), 163-168.
5.-Kim, M. H., Yi, C. H., Weon, J. H., Cynn, H. S., Jung, D. Y., & Kwon, O. Y. (2015). Effect of toe-spread-out exercise on hallux valgus angle and cross-sectional area of abductor hallucis muscle in subjects with hallux valgus. Journal of physical therapy science, 27(4), 1019-1022.
6.-Lee, E., Cho, J., & Lee, S. (2019). Short-Foot Exercise Promotes Quantitative Somatosensory Function in Ankle Instability: A Randomized Controlled Trial. Medical science monitor: international medical journal of experimental and clinical research, 25, 618.
7.-McClinton, S., Collazo, C., Vincent, E., & Vardaxis, V. (2016). Impaired foot plantar flexor muscle performance in individuals with plantar heel pain and association with foot orthosis use. journal of orthopaedic & sports physical therapy, 46(8), 681-688.
8.-McHenry, R. D., Arnold, G. P., Wang, W., & Abboud, R. J. (2015). Footwear in rock climbing: Current practice. The Foot, 25(3), 152-158.
9.-Neumann, D. A (2010). Ankle and Foot. Kinesiology of the musculoskeletal system. Foundations for physical rehabilitation (pp 573-626). Mosby, Elsevier.
10.-Peters, P. (2001). Nerve compression syndromes in sport climbers. International journal of sports medicine, 22(08), 611-617.
11.-Renan-Ordine, R., Alburquerque-SendÍn, F., Rodrigues De Souza, D. P., Cleland, J. A., & Fernández-de-las-Peñas, C. (2011). Effectiveness of myofascial trigger point manual therapy combined with a self-stretching protocol for the management of plantar heel pain: a randomized controlled trial. journal of orthopaedic & sports physical therapy, 41(2), 43-50.



























